How Tooth-in-a-Day Transforms Daily Life in Montreal

See how same-day dental implants can restore your smile, comfort, and confidence in just one visit. Discover the science, technology, and real-life results behind this advanced treatment in Montreal.
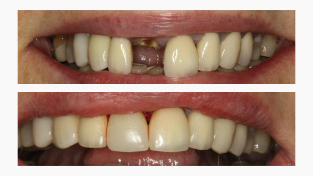
Same-Day Dental Implants in Montreal: Get a Tooth in a Day

Losing a tooth doesn’t have to mean months of waiting. With same-day dental implants, you can walk out with a new tooth (or teeth) the very same day. Learn how advanced digital planning, expert surgical care, and personalized treatment make Tooth-in-a-Day a safe, lasting, and life-changing solution for missing teeth.
Can I Brush My Teeth After Wisdom Teeth Removal? Do’s and Don’ts

After wisdom teeth removal, patients often wonder: “When can I brush my teeth again?” Brushing too soon—or too hard—can disrupt healing and cause complications like dry socket. This guide explains the do’s and don’ts of oral hygiene after surgery, with day-by-day brushing tips, and signs to watch for during recovery.
Dry Socket: Symptoms, Treatment and Prevention After a Tooth Extraction

Dry socket is a painful complication that can occur after a tooth extraction, especially wisdom teeth removal. In this complete guide, learn how to recognize the symptoms, understand the difference between dry socket and infection, explore treatment options, and follow the best practices to prevent it. A must-read for anyone recovering from an extraction and wondering when to call their oral and maxillofacial surgeon.
Wisdom Tooth Pain: Is It Normal or Cause for Concern?

Wisdom tooth pain can be mild—or a sign of infection, swelling, or other complications. Learn how to spot the difference and when to seek dental care.
Wisdom Tooth and Sore Throat: Is Your Sore Throat Actually from a Wisdom Tooth? Here’s How to Tell

Think your sore throat is just a cold? It might be your wisdom teeth. Impacted or infected wisdom teeth can mimic throat infections—often causing one-sided pain, jaw discomfort, and swelling. Learn how to spot the signs, tell the difference from a regular throat infection, and know when it’s time to see your dentist.
Extract Wisdom Teeth Safely: Understanding the Risks and Prevention of Nerve Damage

Wisdom tooth removal is more complex than it seems—especially when nerves are involved. Learn how impacted teeth are diagnosed, the role of advanced imaging, which nerves may be at risk, and how oral surgeons plan safer extractions to prevent long-term complications.
When to Remove Wisdom Teeth: Key Signs and Professional Advice

Wondering when to remove your wisdom teeth? This comprehensive guide explains the signs to watch for, risks of delaying extraction, when to opt for monitoring, and why early evaluation—often between ages 16 and 19—can prevent serious complications.
Wisdom Teeth Surgery in Montreal: What You Need to Know

Wondering if you need your wisdom teeth removed? Learn why these teeth can cause complications, how to recognize potential issues, and what to expect before, during, and after surgery. Whether you’re in pain or planning ahead, this comprehensive guide covers everything you need to make informed decisions about your oral health.
How to Properly Prepare for Dental Implants: A Complete Guide for Professionals

Discover a comprehensive guide to support your patients every step of the way—from financing to the initial consultation, including physical and emotional preparation. A thorough planning approach, inspired by international standards, to optimize implant success and patient satisfaction.